低価格・高品質の光学機器が何でも揃う 株式会社松電舎
計測ソフトウェア
お問い合わせください
2値化を用いた粒子計測はもちろんのこと、円形分離計測、
フォーカス合成、金属粒界分離機能、粗さ計測など
多くの解析・測定が可能です。
●ウォーターシェッド
●粒子間距離計測
●ボロノイ分割計測
●粒子解析データ分析
●グリッド計測
●度数分布色分け機能
WinROOFでは多くの粒子が散在しているサンプルの自動計測や、3Dデータの高さやプロファイル計測、工業製品の線幅計測など様々な測定を自動的に行うことができます。
自動計測により人為的なミスを防ぐことが可能となります。

金属粒子から動物細胞まであらゆる粒子・細胞の形状計測が可能です。
範囲を設定することで、指定した範囲内の形状計測も可能です。
また計測したデータから、統計データの算出も同時に行います。
抽出粒子の条件設定から、OK/NG判c定までの解析が瞬時に計測可能です。
抽出した粒子の状態を編集する機能も搭載しています。



粒子同士が重なっている場合は、通常の粒子解析では困難です。
本機能では、この粒子同士の重なりを分離し、直径、面積などの計測を行うことが可能となります。

画面上に並ぶ複数のラインに対して、自動で線幅を計測します。
この時、それぞれの平均幅とは別に、ラインごとの全てのデータも取得することができます。
ある部分で幅が狭くなるなどの欠陥検査に利用することが可能です。
また、SEMI規格に準拠したLER(Line-Edge Roughness) 及び、 LWR(Line-Width Roughness)に対応しています。

カラー画像から特定の色(RGB、HLS)を抽出し、粒子解析することが可能です。
解析後は度数分布の作成やExcelレポート出力に応用することもできます。

取得した3Dデータより、高さ・幅・近似Rの計測が可能です。
※解析には対応しているメーカーフォーマットの3Dデータが必要になります。

任意のライン上における濃度データのプロファイル計測が可能です。
また、取得したデータは計測リストに出力することが可能です。

これまでの計測領域作製ツール(ROI)では、作れなかった特殊な領域(マスクROI)を作ることが可能になりました。
マスクROI内でさらに色を指定し、計測することができます。
自動処理ツールを利用することで、特定の画像解析・計測手順を1つのコマンドとして登録できます。
登録したコマンドはWinROOFよりいつでも呼び出すことだでき、お客様の作業効率を大幅に改善いたします。
画像の解析・計測手順が定型である場合、手順を1つのコマンドとして登録すれば効率よく解析できます。

自動処理の作成は、実際の計測手順を順番に行うだけでマクロの作成が可能です。
また計測毎にパラメータを変更したい場合は、登録したコマンドにチェックをするだけで、微調整が可能となります。

作成した自動処理は、ツールバーやメニュー、 ファンクションキーに登録することができます。
自動処理を実行する際は、左記のアイコンや コマンドを選択するだけでショートカットできます。
ツールバーには10個までの登録が可能です。

インターバル機能を用いることで、一定時間間隔で繰り返し自動実行できます。
時間的に変化する画像の計測が可能となります。
またタイマー機能を用いると、指定した時間に自動処理を実行することもできますので、計測漏れを防ぐことが可能です。

①タイマーインターバル機能を利用することで、カメラと連携したタイムラプスを行うことができます。
設定時間ごとにカメラ撮影し、ユーザー様の要求を満たす解析を一括して処理できます。
例えば、フレームごとに連続で解析することで撮影対象物の特徴量の変化度合いを追うことが可能です。
対応カメラの機種につきましては、弊社までお問い合わせください。

②同じ測定環境(画像サイズ、撮影倍率など)で取得した大量の画像に対して、一括の処理が可能になります。
大幅な作業時間の効率化をおこなうことができます。

③ファンクションキー登録の活用で、ボタン一つで誰でも同じデータを測定できます。
例えば、処理Aを行うときは「F1」のボタン、処理Bを行うときは「F2」のボタンなど、登録したボタンを押すだけの作業です。
充実した解析機能を組み合わせることで、最適な処理を誰でも簡単に行うことができます。
顕微鏡・デジタルマイクロスコープ・SEM・X線CTなど様々な画像に対して、強調・改善処理を行うことが可能です。
レンズにより発生する収差は、計測結果に大きく影響しますが、本機能でこの収差を補正することが可能です。

撮影した蛍光画像や、金属含有画像を疑似カラーで合成し、蛍光マーカー等の位置観察ができる機能です。

画像間で演算をすることでドット欠けのようなOK/NG計測が 簡単にできるようになります。

レンズ収差により、画像の四隅が暗くなることがありますが、本機能を用いてムラを削除することができます。

画像エッジの強調・画像ノイズの除去など、さまざまなフィルタを駆使し、解析に効果的な画像を作成できます。

画像を周波数に置き換え、ある領域の周波数を削除することでより鮮明な画像を作成することが可能です。

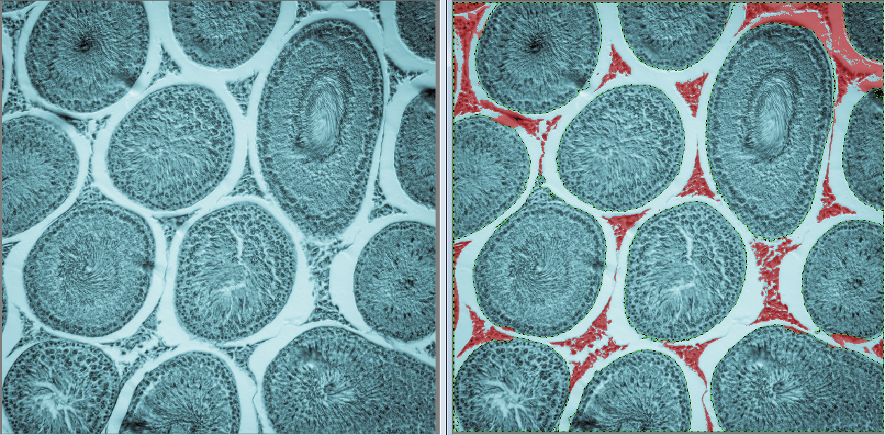
ウォーターシェッド・セグメンテーションは、領域分割手法の一つで、通常の2値化抽出では隣同士がつながりやすい対象物を抽出する際に、そのつなぎ目を見極めて上手く分離する機能です。
シャーレー上でつながったコロニーや細胞の解析、また、いびつな形をしている粉体などの粒子解析にも応用可能です。
ウォーターシェッド(Watershed Segmentation)は、”分水嶺、(川の)流域、分岐点”を指します。
エッジから粒子の中心に向かうほど 輝度が高くなるような画像を作り、画像の輝度勾配を山の嶺(みね)とみなして、山の高い位置から流れ込む水の作る区域をひとつの領域とする分割を行うアルゴリズムからこのように呼ばれています。

これまでの画像解析では抽出・カウントが難しかった粒子や細胞の解析に新たなソリューションを提供します。
画面上に散らばった粒子が様々な形状をしていても、それらのくびれを認識して分離することができます。
粒子が無い空間は処理対象にならず、全ての粒子がカウントできます。
処理後は、各粒子の形状特徴量(面積、円相当径、絶対最大長、針状比など)の計測を行い、粒度分布などの評価も可能です。


座標設定ツールを装備し画面内計測においてもワーク座標系での計測を可能にします。
また2点間距離、角度、個数、円、矩形、ポリゴンなどの様々なシーンでの寸法計測に対応します。
更には、あいまいな円、線などの場合にも対応する近似ツールも装備されています。

計測ポイントを支持する際に、マウスカーソルが指示している点を拡大表示します。
マウスクリックによる誤差を軽減し、より正確な測定が可能です。
拡大率の調整やグリッド表示も可能です。
また、マウスのスクロールで簡単に画像の拡大縮小が可能です。
マウスカーソルをエッジに近づけると、自動でフィット測定者による人的誤差を軽減し、正確な測定が可能となります。
計測ポイントを支持する際に、エッジ付近をクリックすると自動的にエッジにフィットする機能です。
キャリブレーション設定時、複数ポイントの計測ポインタを指示するときなど、プロットする全てのシーンに適用できます。

カメラ制御により自動での画像保存、データベース化が行えます。
キャリブレーションの登録にはコメント入力ができますので、入力装置が複数ある場合も間違えずに選択が可能です。

光沢のあるサンプルを撮影する際に独自の画像処理を用いて、画像内に存在するギラツキを抑え、かつ周辺の画質も落とさずに最適な画像を生成することができます。
照明やカメラ露光を調節するだけの簡単な操作なので、サンプルにあわせて即座に調節可能です。

高さがあり画像内でピントがボケてしまうようなサンプルでも、顕微鏡のフォーカス調整ダイヤルを回すだけで手軽に全焦点画像が生成されます。
※対応機器については別途お問い合わせください。

自動的にのりしろ(重なり)部をパターンマッチング処理で認識し、誰でも簡単に連結画像を生成可能です。
連結画像の縦横枚数に指定がなく、画像の継ぎ目をなくす自動補間機能や光ムラを取り除くシェーディング補正機能などにより、張貼りあわせの精度を向上します。

計測線1と2を選択し2線の角度を計測
| 対応OS | Windows 10、11(64bit) |
|---|---|
| CPU | Core-i5相当 または 2.0GHz以上 |
| メモリ | 8GB以上(64bit) |
| ディスプレイ | フルカラー1280×1024以上 |
| インターフェイス | USB2.0以上 1ポート |
・主な違いを表にまとめてあります。必要な機能に合わせてお選びください
| WinROOF 2023 Standard | WinROOF 2023 Lite | MFShip | MFShip(※機能制限版) | |
|---|---|---|---|---|
| 2点間距離 | ○ | 〇 | 〇 | 〇 |
| 多機能計測 | 〇 | 〇 | 〇 | × |
| エッジ自動フィット機能 | 〇 | 〇 | 〇 | × |
| フォーカス合成機能 | 〇 | 〇 | 〇 | × |
| ハレーション除去機能 | 〇 | 〇 | 〇 | × |
| HDR合成機能 | 〇 | 〇 | 〇 | × |
| 画像連結機能 | 〇 | 〇 | 〇 | × |
| Excel 出力 | 〇 | 〇 | 〇 | 〇 |
| 画像データの サムネイル表示 | 〇 | 〇 | 〇 | 〇 |
| 画面表示倍率変更 | 〇 | 〇 | 〇 | × |
| クロスライン表示 | 〇 | 〇 | 〇 | 〇 |
| 格子目盛表示 | 〇 | 〇 | 〇 | 〇 |
| 図形間計測 | 〇 | 〇 | × | × |
| 粒子計測 | 〇 | × | × | × |
| 統計処理 | 〇 | × | × | × |
| フィルタ処理 | 〇 | × | × | × |
| 自動処理ツール | 〇 | × | × | × |
| 対応OS | Windows 10、11(64bit) | |||
●広い範囲を観察しながら、気になるポイントを高精度に測る方法
導入事例や技術資料も豊富にご用意しております。
製品に関するご質問やご要望など、お気軽にお問い合わせください。
携帯・PHS・一部のIP電話
06-6364-5630
携帯・PHS・一部のIP電話
06-6364-3000